小児矯正は、6〜9歳頃に開始するのが適切で、この時期に治療を始めることで大人になった時に複雑な矯正を避けられる可能性が高まります。
また、指しゃぶりや口呼吸など、歯並びに悪影響を与える癖を早期に改善することで、正常な発育を促します。見た目だけでなく噛み合わせや発音、食事機能の向上にもつながり、笑顔に自信を持つ心理的な効果も期待できます。
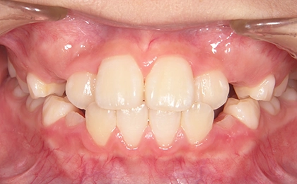
小児矯正の症例を見る
| 診療時間 | 月 | 火 | 水 | 木 | 金 | 土 | 日 |
|---|---|---|---|---|---|---|---|
| 10:00-13:00 | ○ | ● | △ | - | ● | ● | ○ |
| 15:00-19:00(月・土・日は18:00) | ○ | ● | △ | - | ● | ● | ○ |
休診日:毎週木曜日、第2水曜日、祝祭日
◯:日曜日と月曜日は隔週で休診日
(第1・3・5日曜日、第2・4月曜日)
小児矯正は、6〜9歳頃に開始するのが適切で、この時期に治療を始めることで大人になった時に複雑な矯正を避けられる可能性が高まります。
また、指しゃぶりや口呼吸など、歯並びに悪影響を与える癖を早期に改善することで、正常な発育を促します。見た目だけでなく噛み合わせや発音、食事機能の向上にもつながり、笑顔に自信を持つ心理的な効果も期待できます。
小児矯正の症例を見る
歯並びや噛み合わせを整えることで健康面や生活の質が向上するため、見た目だけではなく機能面での改善をしたいと考える患者様に矯正治療をおすすめしています。矯正治療により清掃性が改善され、歯の健康を長期的に維持することができます。
成人矯正の症例を見る