小児矯正 症例集
小児矯正
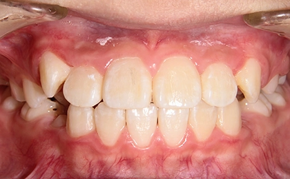
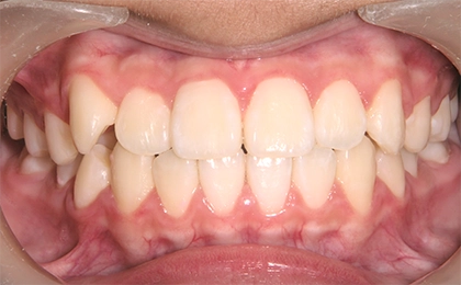
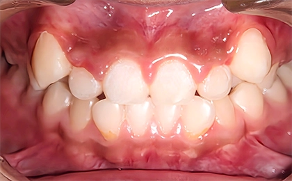
Case1 前歯のガタガタ、部分的な受け口
Before

After

治療期間 | 5か月 |
---|---|
治療費 | 40万円 |
治療内容 | 上のあごに固定式の拡大装置を装着し、あごを拡げてできた隙間で上の前歯のガタガタを治療し、永久歯列に生え変わるまで経過観察を行いました。 |
治療のリスク | 歯の生え変わりにより拡大装置が合わなくなることがあります。 |
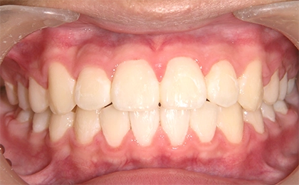
Case2 歯のガタガタ(第1期治療からの継続)
Before

After

治療期間 | 10か月 |
---|---|
治療費 | 55万円(+第1期治療費 40万円) |
治療内容 | 第1期治療で拡大治療+前歯のデコボコ治療をしていたので、表側矯正装置を使用し、非抜歯矯正にて残りの永久歯のガタガタを治療しました。 |
治療のリスク | 第1期治療を行っていなかった場合、抜歯矯正の可能性がありました。 |
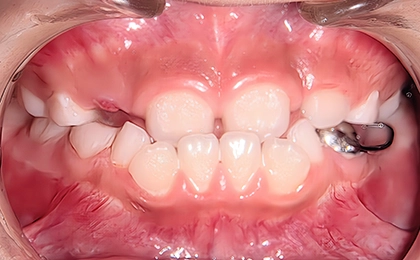
Case3 前歯の受け口
Before

After

治療期間 | 1年 |
---|---|
治療費 | 44万円 |
治療内容 | 前歯の受け口をリンガルアーチで改善後、上下の前歯にブラケットを装着し、デコボコの治療を行い、永久歯列に生え変わるまで経過観察をしました。 |
治療のリスク | 前歯の受け口が残ったままだと骨格性の受け口が助長され、将来的に手術併用による外科矯正治療のリスクが上がってしまいます。 |