歯並びや噛み合わせで
お悩みの方へ
歯並びや噛み合わせのお悩み、
一人で抱え込まずにご相談ください。
口元のコンプレックスは、
自信をなくしてしまう原因の一つ。
当院では、患者様一人ひとりの不安や
希望に寄り添い、
最適な治療プランをご提案します。
美しい笑顔への第一歩を、
私たちと一緒に踏み出しましょう。
理想の歯並びを手に入れて、
笑顔溢れる毎日を送りませんか?

| 診療時間 | 月 | 火 | 水 | 木 | 金 | 土 | 日 |
|---|---|---|---|---|---|---|---|
| 10:00-13:00 | ○ | ● | △ | - | ● | ● | ○ |
| 15:00-19:00(月・土・日は18:00) | ○ | ● | △ | - | ● | ● | ○ |
休診日:毎週木曜日、第2水曜日、祝祭日
◯:日曜日と月曜日は隔週で休診日
(第1・3・5日曜日、第2・4月曜日)
1人でも家族でも
通いやすい|所沢駅 徒歩1分
安心の矯正歯科
〒359-1123 埼玉県所沢市日吉町4-1 髙田ビル2F
歯並びや噛み合わせのお悩み、
一人で抱え込まずにご相談ください。
口元のコンプレックスは、
自信をなくしてしまう原因の一つ。
当院では、患者様一人ひとりの不安や
希望に寄り添い、
最適な治療プランをご提案します。
美しい笑顔への第一歩を、
私たちと一緒に踏み出しましょう。
理想の歯並びを手に入れて、
笑顔溢れる毎日を送りませんか?
一般歯科医院で矯正治療をしようと思った際に、矯正ドクターが非常勤で通院できる日が限定されてしまい通いづらいと思ったことはありませんか?矯正専門の医院では矯正治療に精通した専門ドクターが常にいるため、患者様の希望に沿った日程で通院がしやすくなります。

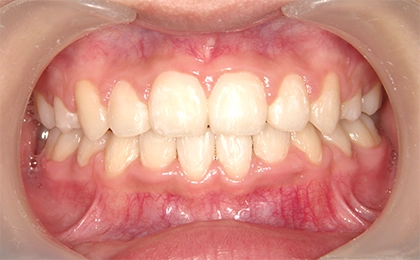
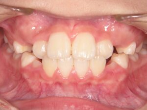
Before
After| お悩み | 前歯の隙間、出っ歯 |
|---|---|
| 治療期間 | 2年8か月 |
| 治療費 | 110万円 |
| 治療内容 | 上下のあご、特に上が狭くV字型歯列であったため、MSEによる骨格性の拡大装置を使用し、表側矯正装置で歯の隙間や出っ歯の治療を行いました。 |
| 治療のリスク | 抜歯治療の可能性もあったが、口元が下がりすぎることやあごの狭さを考慮して、歯列拡大+非抜歯で治療しました。 |
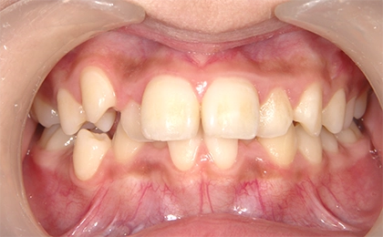
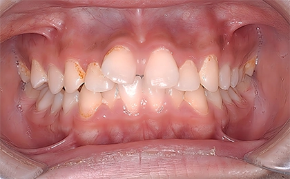
Before
After| お悩み | 出っ歯、歯のガタガタ |
|---|---|
| 治療期間 | 1年9か月 |
| 治療費 | 95万円 |
| 治療内容 | 上下左右の小臼歯を1本ずつ計4本抜歯し、出っ歯と歯のガタガタを表側矯正装置で治療しました。 |
| 治療のリスク | 歯のガタガタが大きく、歯磨きが不十分なことが多かったため、矯正治療中に虫歯にならないよう歯磨き指導を数回行いました。 |
当院は“矯正歯科専門”として、幅広い症例に対応してきた経験豊富な歯科医師が在籍しています。初回カウンセリングでは、現在のお口の状態やご希望を丁寧に伺い、治療の流れ・費用・期間などをわかりやすくご説明します。まずは、あなたの“理想の笑顔”への第一歩を踏み出してみませんか?
Feature01
当院では、日本矯正歯科学会の認定医がすべての患者様の治療を担当します。専門的な知識と豊富な経験をもとに、一人ひとりのお口の状態やライフスタイルに合わせた、的確で安心できる矯正治療をご提供しています。治療方針や装置の選択についても丁寧にご説明いたしますので、矯正が初めての方でもご安心ください。

Feature02
ブラケットはオールセラミックの白く目立ちにくい素材のもの、ワイヤーは患者様の希望に合わせてホワイトワイヤーを用意してあります。舌側矯正(裏側矯正)やマウスピース矯正(エンジェルアライナーなど)も患者様のお口の中の状況によりますが、選択していただくことも可能です。

Feature03
当院は、ノンフリクションタイプという摩擦が少ないブラケットを使用しており、従来の装置に比べて歯の移動がスムーズになったことで移動に伴う痛みを軽減できます。また、マウスピース型矯正装置(エンジェルアライナーなど)による治療もご用意しております。取り外し可能なため、食事や歯磨きの際にも負担を感じることなくお過ごしいただけます。

Feature04
従来の歯科医院における問診票記入、治療の予約、会計などの煩わしさや負担を可能な限り排除して、患者様にとって快適な通院を心掛けています。治療に関する相談はLINE、チャットなど患者様に合わせて様々な媒体をご用意していますので、お気軽にご相談ください。




VAN矯正歯科 院長
日本矯正歯科学会認定医
飯塚 清人
はじめまして、VAN矯正歯科 院長の飯塚清人と申します。
私は栃木県の那珂川町という自然豊かな環境で育ち、神奈川歯科大学卒業後は同大学の矯正科で矯正医としての第一歩を踏み出し、これまで数多くの患者様と矯正治療を通じて向き合ってまいりました。
矯正治療を希望される理由や治療に対する考え方は患者様一人ひとりで異なります。歯並びを綺麗にしたい、噛み合わせを改善したいといった希望から、治療に対する不安や費用面での心配まで、それぞれの思いを抱いて来院されることと思います。患者様のお気持ちをしっかりと理解し、それぞれの思いに寄り添う治療を心がけております。
| 治療名 | 料金 |
|---|---|
| 初回相談 | "無料" |
| 精密相談 | ¥27,500 |
| 調整費用 | "無料"(矯正費用の中に込み) |
| 転院相談・再治療相談 | ¥22,000 |
| 検査・診断料 | ¥55,000 |
| ワイヤー矯正 | ¥990,000~1,067,000 |
| 裏側矯正 | ¥1,155,000 |
| マウスピース矯正 | ¥1,155,000 |
「トータルフィー制(総額制)」は最初にお伝えした治療費に基本的な通院費や調整料、保定装置(リテーナー)など、治療に必要な費用のほとんどが含まれている料金体系です。治療の途中で「思ったより費用がかかってしまった…」ということがないよう、明朗会計を心がけています。
デンタルローンをご利用で月々の分割払いを行うことが可能です。具体的な月々の金額については分割回数などにより異なりますので、ご不安な方はご相談ください。
基本的に仕上がりに差はありません。装置の脱離や破損など想定外のことや、矯正治療中に虫歯や歯周病の治療が必要になる場合は治療期間が延長することがあります。
お口の中に何も入っていない状況と比較すると歯磨きの難易度は格段に上がります。装置装着後に歯磨きの方法や歯ブラシの種類は当院でご説明いたします。
医療費控除は、1年間に支払った医療費が一定額を超えた場合、所得税の一部が還付される制度です。対象となる医療費には、治療のための診療費や薬代、通院の交通費などが含まれます。控除額は、年間医療費から保険金などで補填された金額を差し引き、さらに10万円(または総所得の5%のいずれか低い金額)を超えた分です。当院の基本矯正料をまとめて先にお支払いしていただくことで、医療費控除の控除額が大きくなります。トータルフィー制は医療費控除を有効活用できるシステムでもあります。
患者様に快適に治療を受けていただけるように、最新の設備と環境で院内を設計しております。






