成人矯正 症例集
成人矯正
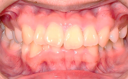
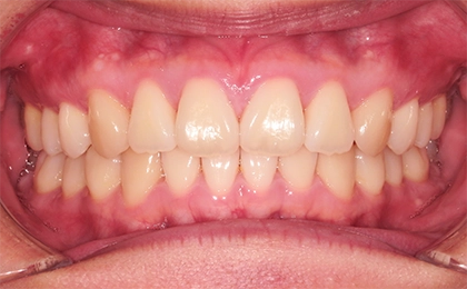
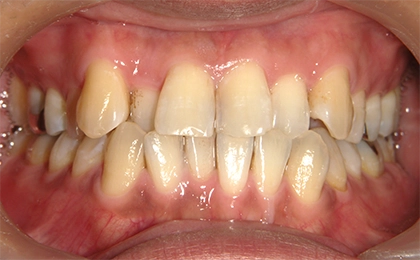
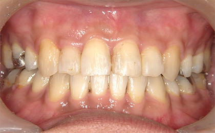
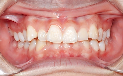
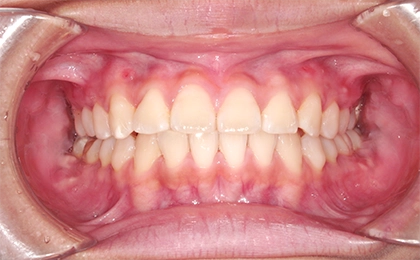
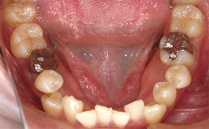
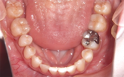
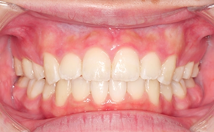
Case1 出っ歯、歯のガタガタ
Before

After

治療期間 | 1年9か月 |
---|---|
治療費 | 95万円 |
治療内容 | 上下左右の小臼歯を1本ずつ計4本抜歯し、出っ歯と歯のガタガタを表側矯正装置で治療しました。 |
治療のリスク | 歯のガタガタが大きく、歯磨きが不十分なことが多かったため、矯正治療中に虫歯にならないよう歯磨き指導を数回行いました。 |
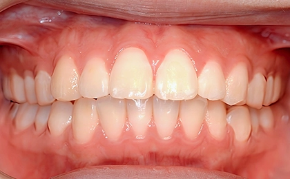
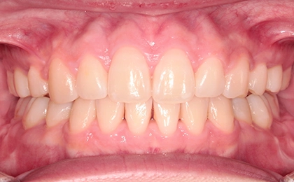
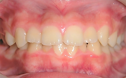
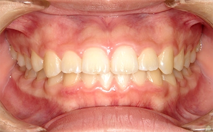
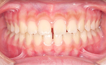
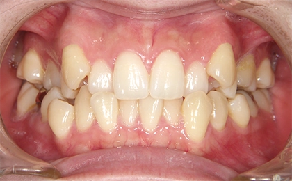
Case2 出っ歯、歯のガタガタ、咬み合わせが深い
Before

After

治療期間 | 2年4か月 |
---|---|
治療費 | 115万円 |
治療内容 | 歯のガタガタが大きかったが、非抜歯矯正を希望されたため、上顎にMSE(骨格性拡大装置)を装着し、骨ごと拡大しました。表側矯正装置で歯のガタガタや出っ歯を改善した後、マウスピース矯正装置で全体的な咬み合わせを治療しました。 |
治療のリスク | 非抜歯で治療する場合、歯が骨の中に並びきれずに、歯根が骨から出たり、歯の傾きが改善できないなどのリスクを考慮し、事前にレントゲン上で骨の厚みを確認しました。 |
Case3 出っ歯、口ゴボ
Before

After

Before

After

治療期間 | 2年4か月 |
---|---|
治療費 | 110万円 |
治療内容 | 上下左右の小臼歯を1本ずつ計4本抜歯し、出っ歯および口元の突出感を改善しました。前歯を効率的に下げられるようアンカースクリュー(ネジ)を併用して治療しました。 |
治療のリスク | アンカースクリューを使用しないで治療を行うと、奥歯が前の方に寄ってきてしまい、歯を抜いても出っ歯を改善しきれない可能性があります。 |
Case4 歯のガタガタ、部分受け口
Before

After

治療期間 | 2年5か月 |
---|---|
治療費 | 105万円 |
治療内容 | 上下左右の小臼歯1本ずつ計4本抜歯し、歯のガタガタや前歯の部分的な受け口を表側矯正装置で治療しました。 |
治療のリスク | 30代後半の男性の方で、骨が固く歯の動きが思うように行かず、少し治療期間に影響が出ました。 |
Case5 出っ歯、下の歯のガタガタ、ガミースマイル
Before

After

Before

After

治療期間 | 11か月 |
---|---|
治療費 | 90万円 |
治療内容 | 表側矯正装置を使用し、非抜歯矯正で治療しました。ガミースマイルはワイヤーで改善できる範囲内で前歯を歯根方向に圧下し、治療しました。 |
治療のリスク | 抜歯矯正で前歯が下がるとガミースマイルが軽減されることがありますが、口元が下がりすぎてしまうと横顔の見え方に影響するので、抜歯治療か非抜歯治療かは口元の状態も考慮して治療計画に組み込みます。 |
Case6 前歯の隙間、出っ歯
Before

After

治療期間 | 2年8か月 |
---|---|
治療費 | 110万円 |
治療内容 | 上下のあご、特に上が狭くV字型歯列であったため、MSEによる骨格性の拡大装置を使用し、表側矯正装置で歯の隙間や出っ歯の治療を行いました。 |
治療のリスク | 抜歯治療の可能性もあったが、口元が下がりすぎることやあごの狭さを考慮して、歯列拡大+非抜歯で治療しました。 |
Case7 出っ歯、咬み合わせの深さ、部分受け口
Before

After

治療期間 | 2年4か月 |
---|---|
治療費 | 105万円 |
治療内容 | 非抜歯矯正にて表側矯正装置で治療を行いました。出っ歯と過蓋咬合(深い咬み合わせ)を改善するため、上の前歯部歯肉にアンカースクリューを2本、上の臼歯部歯肉に2本、合計4本使用しました。 |
治療のリスク | 咬み合わせの深さをアンカースクリュー+ワイヤーで治療したが、もともと前歯の歯根が短かったため、さらに短くならないよう慎重に動かしました。 |