当院で初めて相談をされる方へ
矯正治療未経験の方は、大人の方もお子様も2種類の相談メニューがございます(再治療・転院希望の方は対象外になります)。
2種類の相談メニューの比較表は以下の通りになります。
この比較表を基にそれぞれのメニューの詳細を以下に記載します。
初診相談(所要時間:75分)
無料での相談になりますので、まずは一度矯正に関する話を聞きたい!と考えている方におすすめのメニューになります。
当院では相談を行う前に、精密検査の一部を初めに行います。
レントゲン写真
①パノラマ写真
親知らずの数・向きや、歯の本数が合っているかなど、歯や骨の情報を知るために撮影します。
②セファロ写真
側貌写真では、頭部の位置に対する上下顎の前後関係(出っ歯や受け口など)や垂直関係(面長か丸顔かなど)を調べたり、歯の傾きや口元の突出度など様々な要因を数値化して正常値からどれくらい離れているかを確認します。
正貌写真では、正面から見た顔や顎の歪み、前歯の真ん中の位置などを確認します。
当院ではMoon Aligner Systemという診断ソフトを用いて、撮影後3~5分でレントゲン写真から以下の画像のようにAIが自動で分析値を即座に出してくれます。
この機能により、現時点の問題点や、治療方針について確信をもって説明することが可能になります。
写真
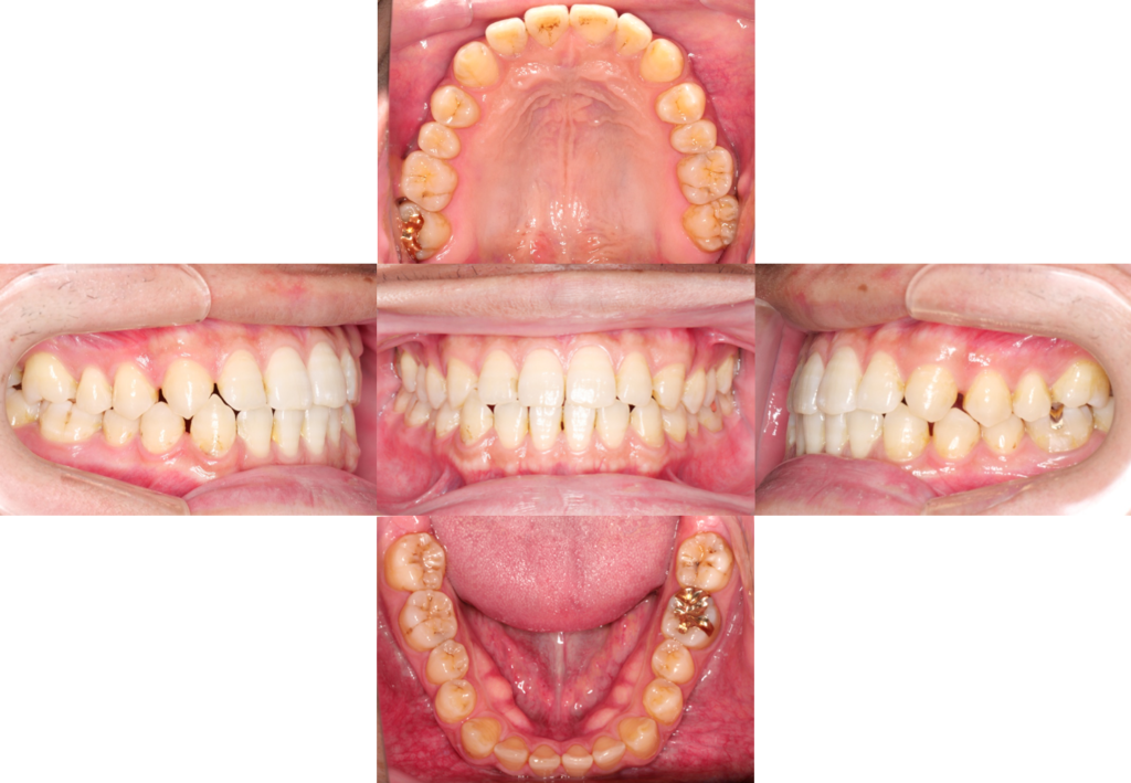
①口腔内写真
虫歯の有無や、歯の形態、歯茎の状態などレントゲンだけでは確認できない内容を確認します。
②顔貌写真
口唇がしっかり閉じているかや、笑った時の歯茎の見え方、口元の突出度など、主に口元の状態を確認をします。
一部の検査を行ってから相談をすることで、検査の資料を見ながら問題点を視覚的に分かりやすく把握でき、その人に合った治療法を予め説明することも可能になります。
例えば、「パッと見で口元が出ているかも…?検査してみないと口元を下げるための抜歯が必要かどうか分かりにくい…」というような状況でも、レントゲンや写真があれば一目瞭然でどういった治療が適切かをその場で説明いたします。
特に初めて相談に来られる方は、ご自身がどういう口腔内の状況なのかをじっくりご覧になったことがない方も少なくないかと思います。
せっかく貴重なお時間を割いて相談に来られる方に、お口の中だけ診て「検査しないと分からない」という説明はなるべく減らしたいと考えています。
当院の全ての検査を初めに行う訳ではないので、上記の情報のみを使用してのご説明になりますが、適切な治療法や装置の種類を決めるには十分な内容になります。
そのお話を聞いていただいて、当院で矯正治療をしたいと考えていただけたのであれば、残りの検査を進めてから具体的な治療計画を診断時にお話するという流れになります。
精密相談(所要時間:90分)
相談当日は27,500円がかかりますが、当院で少しでも早く始めたい!と考えている方向けの相談メニューになります。
精密検査を初めに全て行った後に、その資料を使用して相談することで、通常の初診相談よりも口腔内や顔貌の状態を把握できます。
また、精密検査の全内容+初診相談になりますので、相談後の追加検査はありません。
来院回数を1回減らして診断(治療計画や期間のお話)を聞いていただくことで、早く治療を進めることが可能です。
通常の検査代には、治療開始前から治療途中や治療終了後の検査代も含まれておりますが、精密相談も通常の検査同様に最初にお支払いした額の中に、追加検査代も含まれております。また、精密相談代には、診断料も通常の検査同様に含まれております。
精密検査の全内容
- レントゲン(パノラマ写真、セファロ写真)
- CT(大人の矯正治療する方が対象になりますが、子供の矯正治療でも必要に応じて撮影します)
- 写真(口腔内写真、顔貌写真)
- フェイススキャン(大人の矯正治療の方のみ)
- 口腔内スキャン
通常の初診相談の資料に加えて、CT・フェイススキャン(主に大人の方)、口腔内スキャンによる資料を追加で採得します。
追加資料
①CT
歯を動かす際には、歯を支える歯槽骨の状況を見る必要があります。
例えば、歯周病が進行している部位は歯槽骨の厚みや高さが足りていないことがあります。骨量が少ない方へ歯を動かすと歯茎の位置が下がってしまい、ブラックトライアングルという歯と歯の間に三角形の隙間ができてしまうことがあります。
また、上顎前歯部の後方にある切歯管という組織の位置関係も重要であり、「とにかく前歯を下げたい!」ということが主訴であったとしても、切歯管と前歯の位置が近いと前歯を引っ込める際に歯根が切歯管にぶつかり吸収されてしまうことがあります。その際は前歯を下げる量を妥協せざるを得ない場合もございます。
子供の方でも大人の方でも、歯が骨の中に埋まっている埋伏歯の位置関係を見ることもできます。
歯と骨の総合的な情報を得るためにCTは必須になります。
②フェイススキャン
上記のCTデータを組み合わせることで、皮膚と骨の位置関係をより詳細に知ることができます。
また、治療が進んできた時に再度スキャンすることで、治療前後の口元や顔貌の変化を比較することができます。
③口腔内スキャン
デジタル上で歯型を取ります。スキャンデータをCTと合わせることで、口腔内の状態を正確に再現できます。
抜歯したスペースや歯列拡大などを行った場合、どういう結果になるかなど主に治療計画を立てる際に必要になります。
まとめ
初診相談(無料)がおすすめの方
- とりあえず自分の現状を知りたい!
- 自分のレントゲンや写真を見ながら治療法を知りたい!
- その上で追加の検査が必要かどうか知りたい!
精密相談(¥27,500)がおすすめの方
- 少しでも早く矯正治療を始めたい!
- 就活や面接、結婚式や成人式などのイベントに間に合わせたい!
- 検査代を少しでも抑えたい!
初診相談から検査へ進まれた方も、精密相談時に検査を行った方も、検査代をお支払いしてから当院で治療することが困難であると判断した場合(外科矯正治療が必須、急な転居が決まったなど)は、検査代は全て返金致します。
外科矯正治療(保険併用の矯正治療)が必須と判断した場合は、当院では保険適応外になるため、保険で矯正治療ができる施設へ紹介状を書かせていただくことがあります。
このブログを読んで矯正相談にご興味がある方は当院のホームページの「WEB予約」の初診予約からご予約をお取りいただけます。
ご予約を取られた後は、相談当日の診察時間短縮を避けるため【必ず】【来院前に問診票の記入】をお願い致します!
スタッフ一同、ご来院を心よりお待ちしております!












