所沢駅から徒歩1分の矯正専門医院 VAN矯正歯科

VAN矯正歯科

〒359-1123
埼玉県所沢市日吉町4-1 髙田ビル2F

04-2935-7711

診療時間
10:00-13:00 -
15:00-19:00(月・土・日は18:00) -

休診日:毎週木曜日、第2水曜日、祝祭日
◯:日曜日と月曜日は隔週で休診日
(第1・3・5日曜日、第2・4月曜日)

2025.10.10

裏側矯正装置ブラーバって?

今回は当院で使用している裏側矯正装置ブラーバ(Brava)の特徴についてご説明します。

ブラーバはアメリカで2020年頃から使用開始した装置であり、2025年10月現在においても、国内で導入しているクリニックは限られています。

特徴や他の装置との違い、利点・欠点などブラーバについてもっと知って頂ければと思います。


🦷ブラーバの仕組みと特徴

ブラーバは、従来のワイヤーやマウスピースを使わずに歯を動かす、新しい裏側矯正システムです。各歯に個別設計された小さなアームと支点を用い、歯にかかる力を精密にコントロールします。これにより、見た目を気にせず自然に歯を整えられるのが特徴です。ワイヤーで歯を連結しないため、フロスや歯ブラシを通しやすく、口腔衛生管理がしやすい点も利点とされています。また、従来の舌側矯正に比べて厚みが少なく、違和感や発音障害が軽減されるケースもあります。短期間で効果が現れることもありますが、適応には限界があり、重度の叢生(ガタガタ)や骨格的な不正咬合では適用が難しい場合もあります。治療を希望する際は、他の装置との比較検討も必要になります。

従来の表側矯正・裏側矯正におけるワイヤー矯正は、症例にもよりますが大きく分けて以下のステップで治療をします。

  1. レベリング(デコボコの治療)
  2. リトラクト(抜歯後の隙間やデコボコをほぐしてできた隙間を閉じる)
  3. ディテーリング(全体的な咬み合わせの微調整)

ブラーバは上記の3ステップを1ステップにしてワイヤーに組み込んで歯の移動を行うため、従来の装置より比較的短期間での治療が可能です。

『インディペンデント・ムーバー・テクノロジー』という技術で1本1本の歯に移動様式を加え、同時に歯を動かしていきます。全顎的な固定源(アンカレッジユニット)を必要とせず、各歯が「自己アンカレッジ」的に動く仕組みです。また、必要に応じて一部の歯を「スタビライザー」として一時的に固定源に設定することも可能です。

つまり、ワイヤー矯正で必須になりつつある、矯正用アンカースクリュー(ネジ)の併用を治療計画によっては使用せずに治療を進めていくことも可能です。

※過蓋咬合開咬ガミースマイルの患者さんには、アンカースクリューの併用を提案することがございます。


🌿メリット・デメリット

メリット

審美性が良い(見えにくい)
他の装置に比べて早い
抜歯治療など複雑な治療も対応可能
ワイヤー交換の少なさ(上下とも1~2本で治療します)
マウスピースと異なり、装置は入れっぱなしで歯が動きます

デメリット

一時的な滑舌の悪さ(約2~4週間程度)
金属アレルギーの方は使用不可
下顎骨隆起(舌側の骨の膨らみ)がある方は、下顎が使用不可(上顎のみ適応になることもあります)
歯ブラシの難易度
現時点で、日本では症例数や対応可能な歯科クリニックが少ない

同じ治療計画を作成した時のブラーバとマウスピースの比較表


🪄治療の流れと治療期間

当院の検査はブラーバを使用する場合でも、追加の検査内容はありません。検査内容は以下になります。

検査後、資料をブラーバ専用ラボに送信し、専用ラボから送られてきた治療計画を基に、歯の動きを3Dシミュレーションし、患者さんごとにカスタムアームを製作します。

治療計画作成後、約2~3週間くらいで装置が届きますので、届き次第ブラケット、ワイヤーを装着します。

装着後は、1〜2か月ごとの通院で経過をチェックします。ブラーバは基本的にワイヤー調整を必要としないため、他の矯正法より通院回数が少なく済むのが特徴です。

全体の治療期間は症例によりますが、抜歯矯正においても最短で9か月~約1年半程度が一般的とされています。

治療完了後は他の装置同様、保定装置(リテーナー)を装着して歯の後戻りを防ぐ「保定期間」が約3年かかります。


💰費用・支払い

ブラーバの費用は装置代、調整料などを含めて1,155,000円になります。

小臼歯抜歯が必要な場合、1本につき8,800円になります。

例)治療計画に基づいて、小臼歯抜歯が4本必要な場合

ブラーバ(1,155,000円) + 上下左右小臼歯抜歯計4本(8,800円×4) = 1,190,200円 が治療費総額になります。


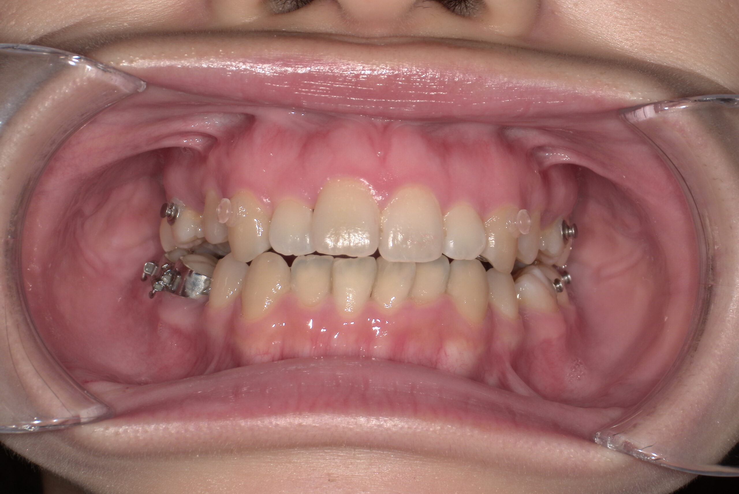
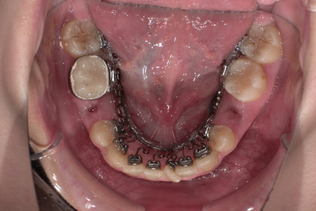
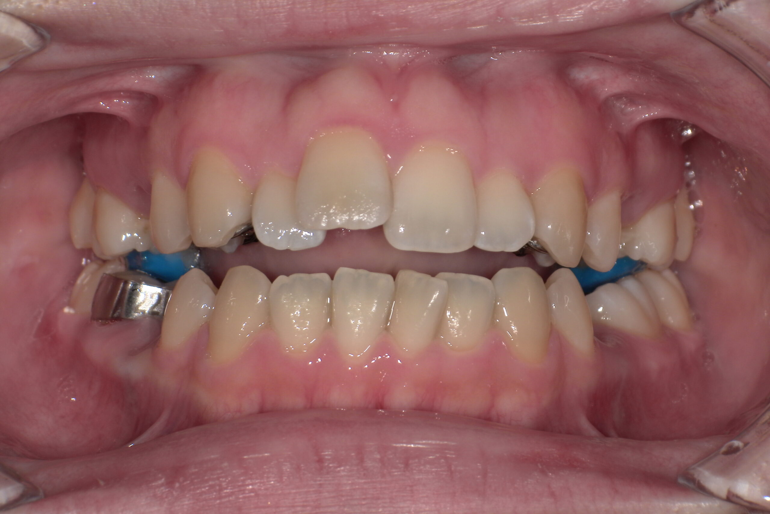
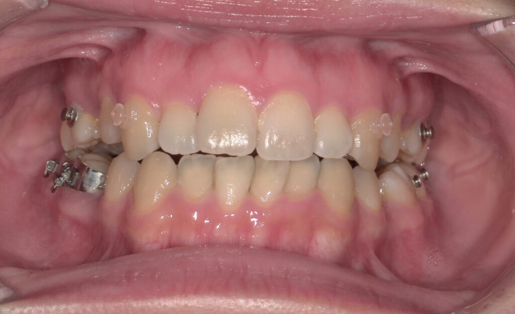
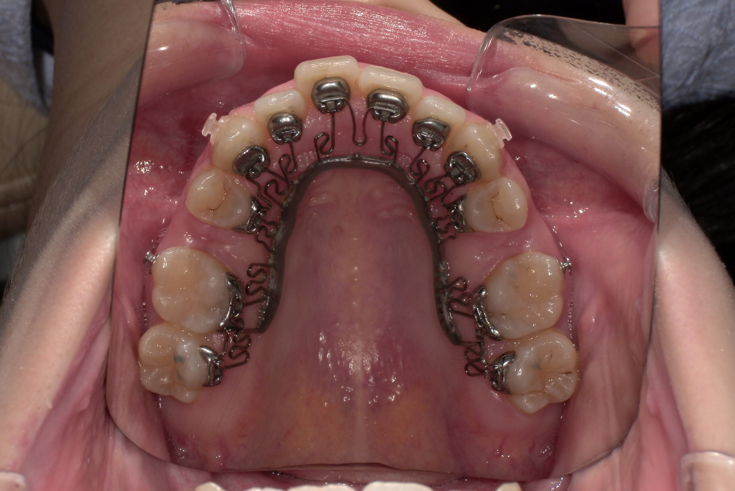
📸治療経過写真

当院で裏側矯正治療しているスタッフの経過写真をご参考にしてください。

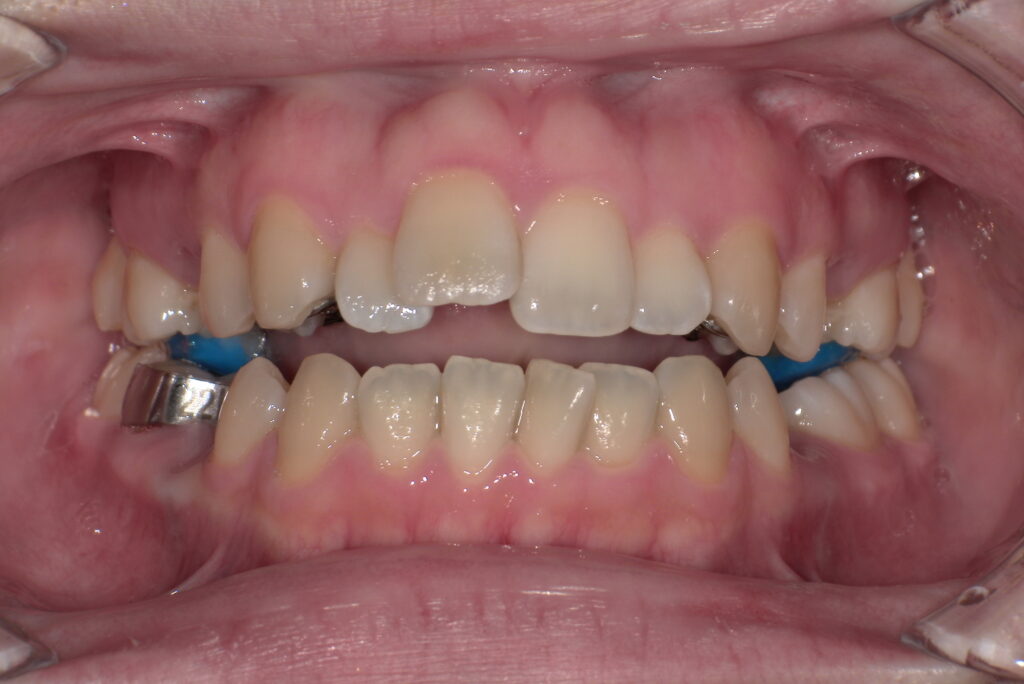
上下左右小臼歯を1本ずつ計4本抜歯して現在も治療中です。「歯を抜いた隙間が閉じた量」、「前歯の移動量」、「正面から見た前歯の位置」に注目して見てもらえると、歯の移動の早さが目に見えて分かるかと思います。

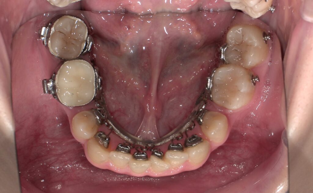
初回装着時

正面

上顎

(青い材料は下の歯が上の装置にぶつからないよう、咬み合わせを一時的に上げる材料です)

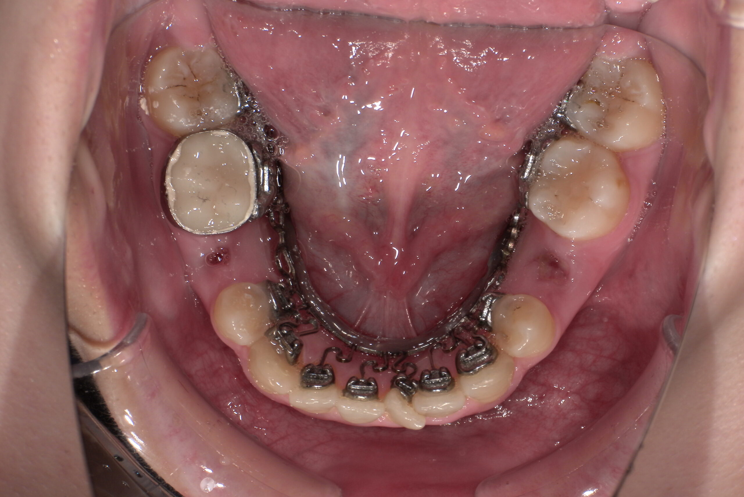
下顎

 

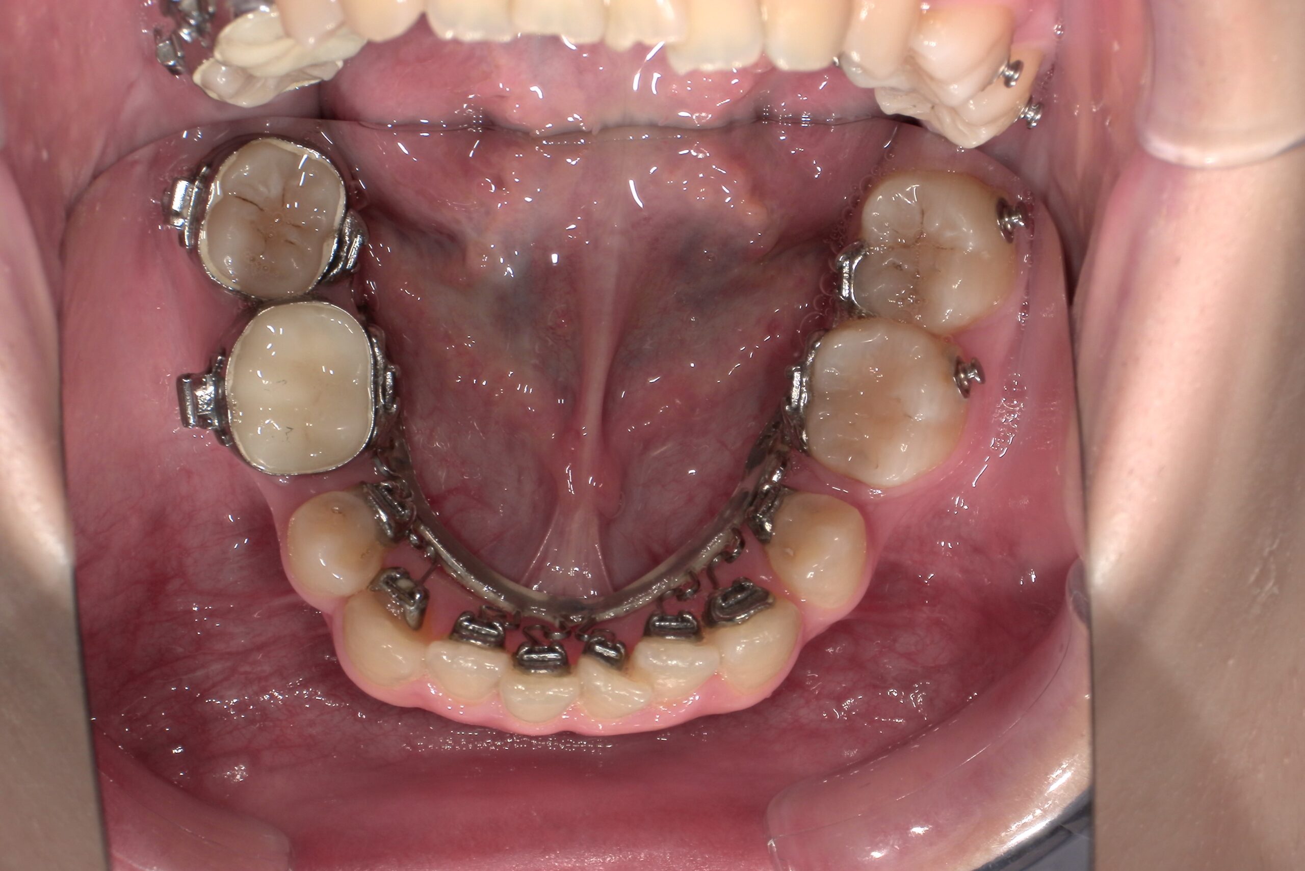
約4か月後

正面

(ゴムかけをして奥歯の咬み合わせや出っ歯の治療をするため、何か所かボタンが付いています)

上顎

下顎

※ブラーバのみで治療ゴール達成が困難な場合、表側に一時的に装置を追加することもあります。

※写真のように一時的に咬み合わせを上げたり、ゴムかけなどを併用する治療計画の場合、一時的に使用しますが追加料金はかかりません。


💬まとめ

最新の裏側矯正装置ブラーバ、いかがでしたか?

見た目に優れており、治療期間も比較的早いのであれば、ブラーバを選択するメリットは非常に大きいと思います。

今回説明した内容以外にも不安な点や、相談したい点などあれば、一度当院の「WEB予約」から相談のご予約を取っていただくか、「公式LINE」にてご質問していただいても構いません。

当院スタッフ一同、ご来院を心よりお待ちしております。