「子供の矯正だけで治療は終わりますか?」
といった質問がよくありますが、結論から言わせていただくと、「基本的には大人の矯正も必要」になります。
もちろん、子供の矯正のみで終了する方もいらっしゃいますが、子供の矯正ではアプローチできる歯が限定的になります。
永久歯が萌出するたびに装置を装着していると、治療期間だけ延びてしまうため、当院ではメリハリをつけて治療します。
実際、子供の矯正(第1期治療)期間と大人の矯正(第2期治療)期間はどれくらいかかるのかを症例を用いて解説いたします。
※院長自身が治療しましたが当院での治療ではないため、使用している装置は当院で取り扱っているものと異なります。
症例集ページ(https://www.van-ortho-clinic.com/case/)の小児矯正 Case 1 およびCase 2と同じ内容になります。
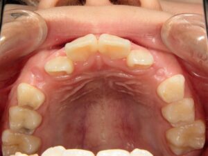
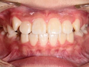
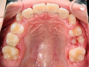
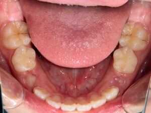
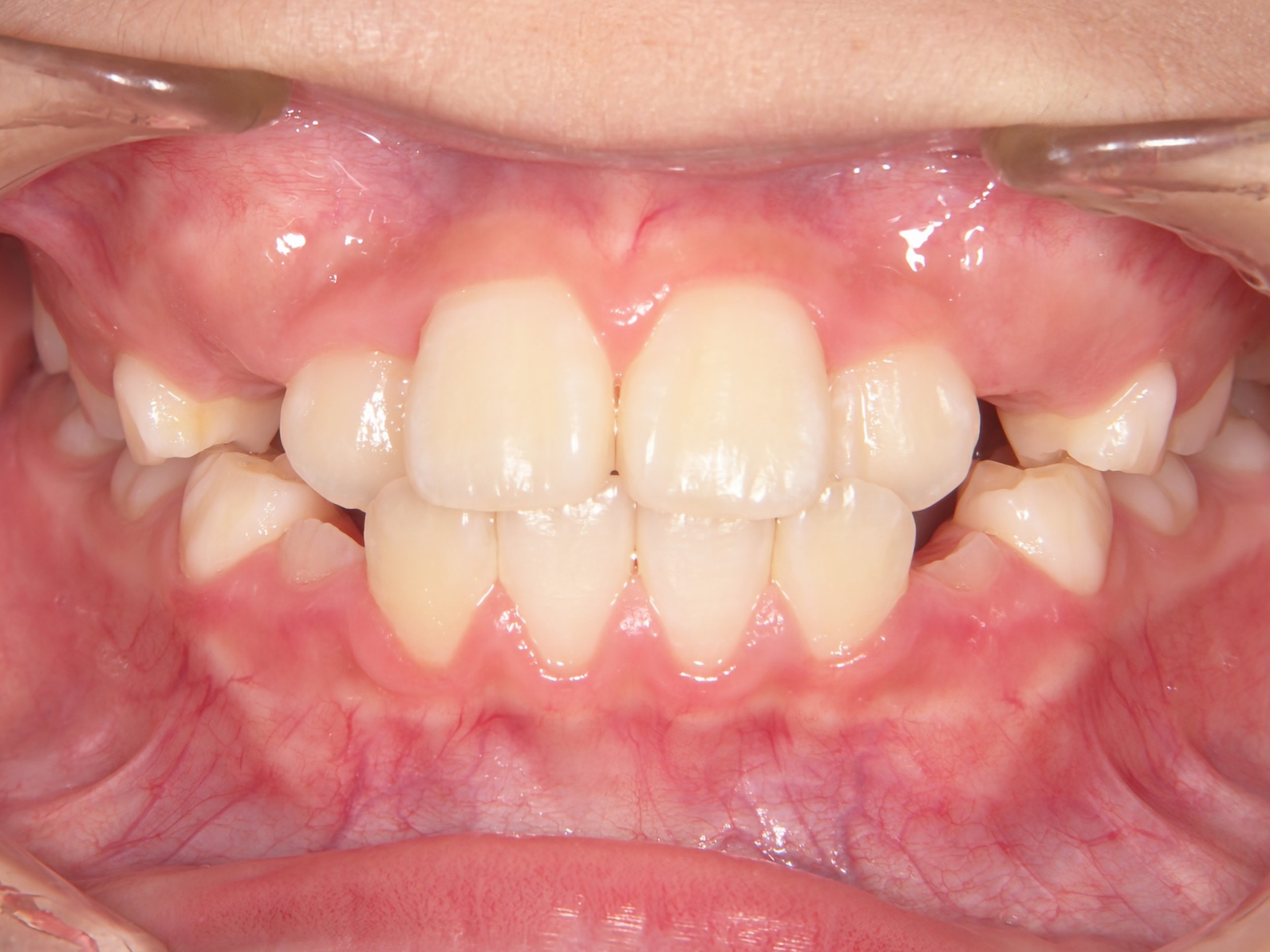
第1期治療開始時
顔貌写真
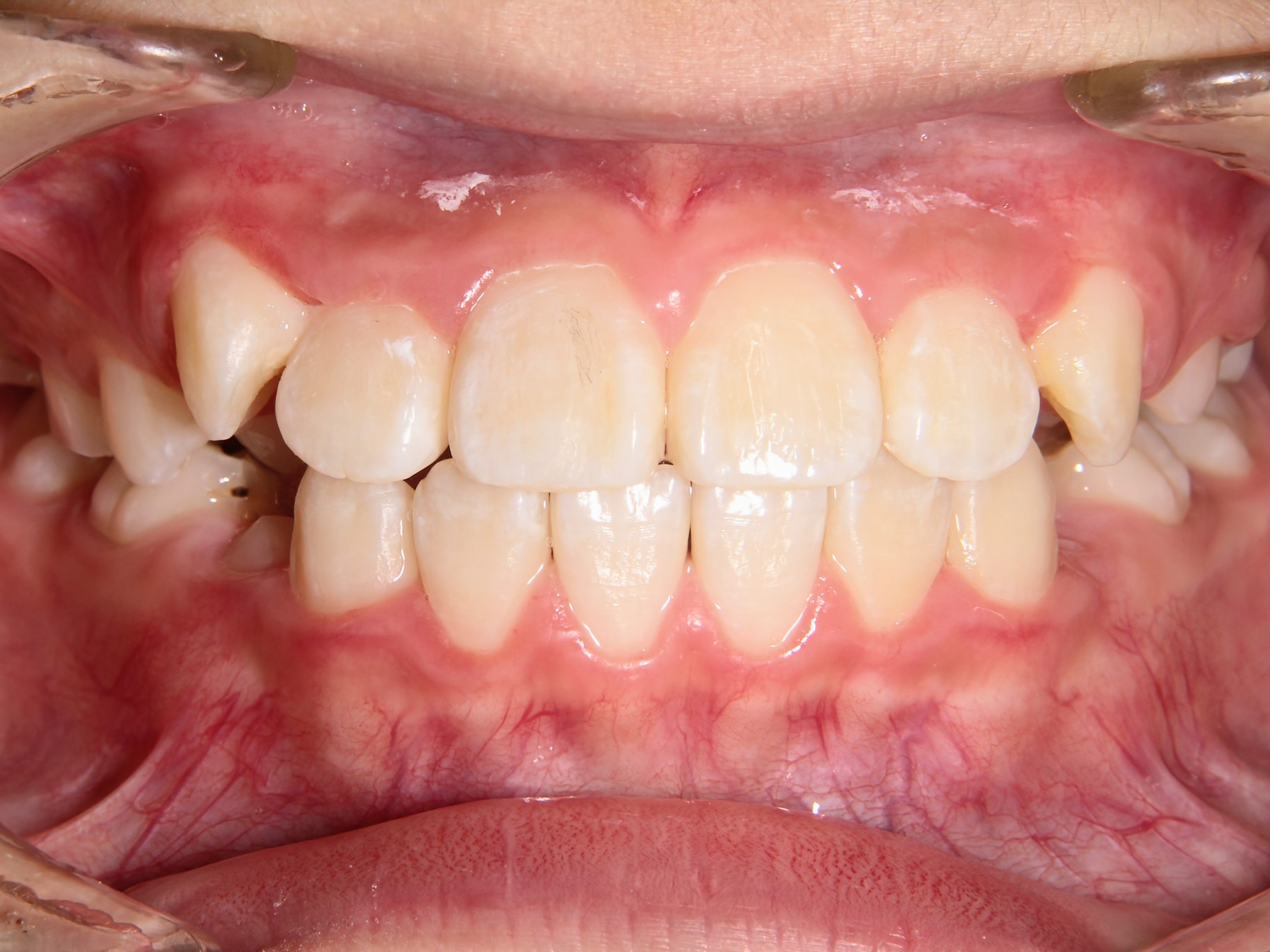
口腔内写真
年齢
9歳 男性
主訴(患者様のお悩み)
歯のデコボコを治したい
診断
上顎前歯部叢生(上の前歯のデコボコ)
上下顎側切歯クロスバイト(部分受け口)
上顎狭窄歯列(上のあごが小さめ)
歯冠幅径大(歯が大きめ)
治療方針
上顎緩徐拡大(上あごを拡大)
上の前歯部のみワイヤー矯正
使用装置
緩徐拡大装置(クワドヘリックス)
前歯部ブラケット
治療期間の目安:約半年~1年(保定期間を除いた期間)
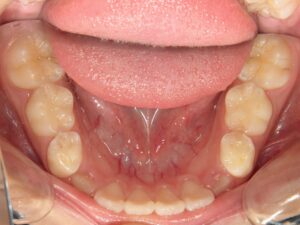
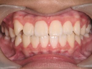
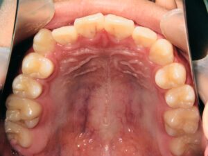
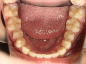
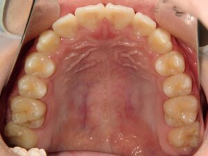
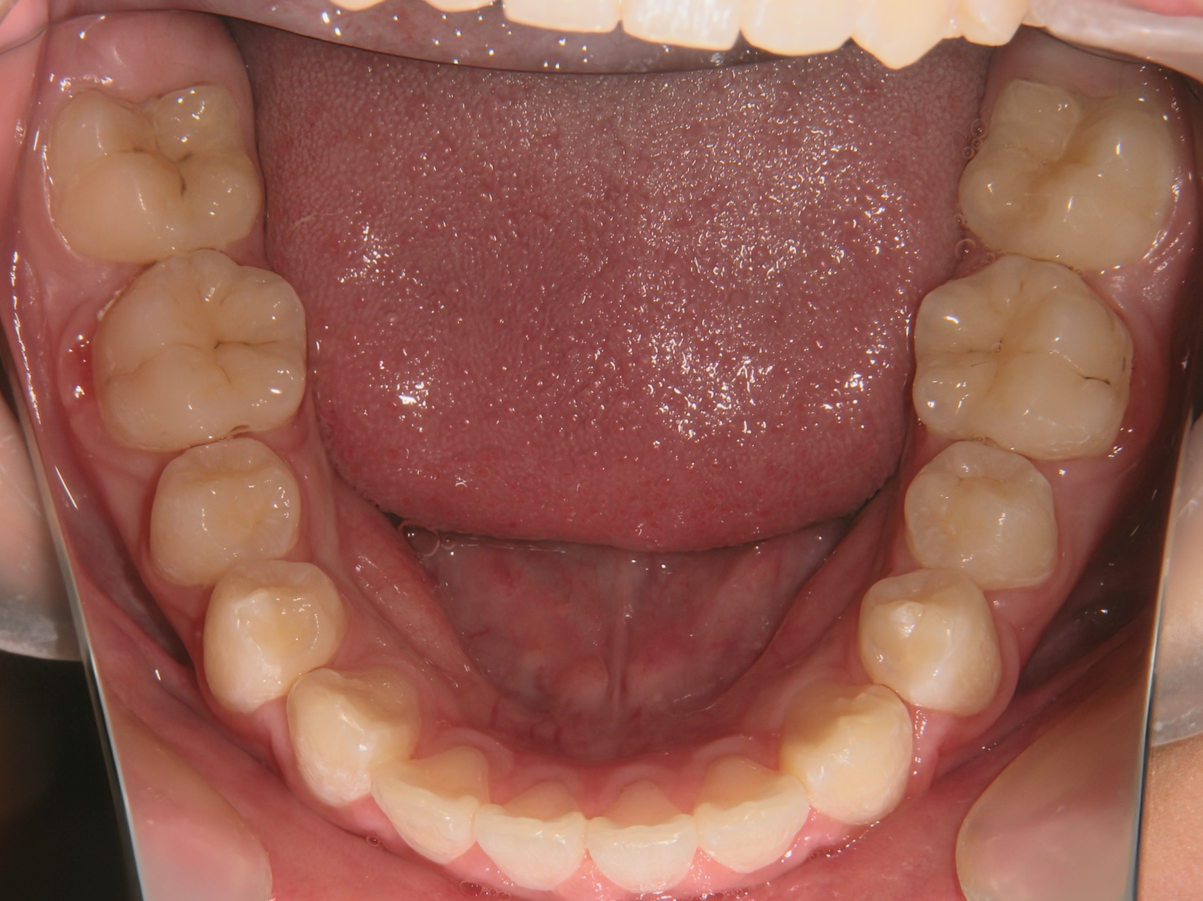
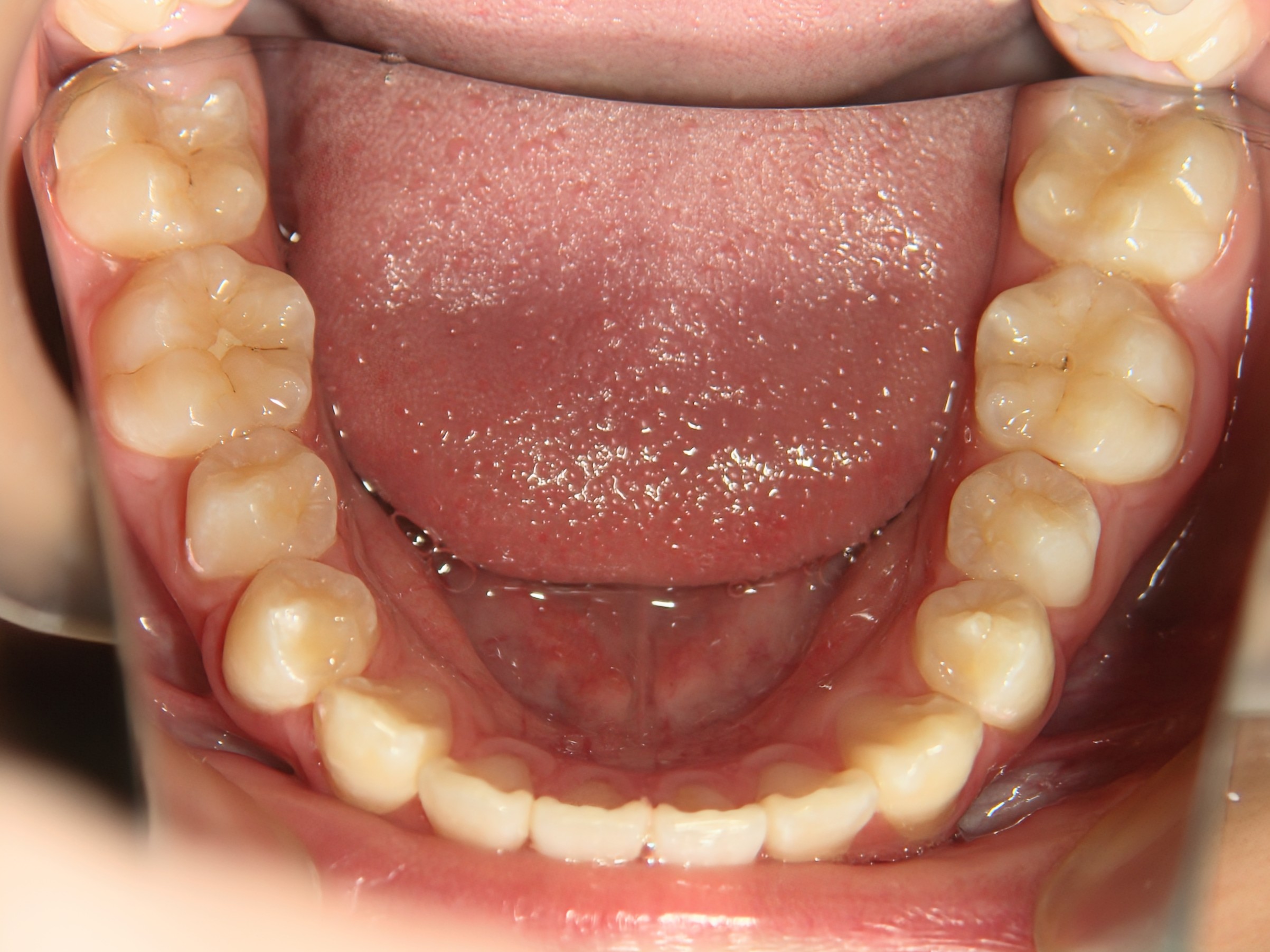
第1期治療終了時
顔貌写真
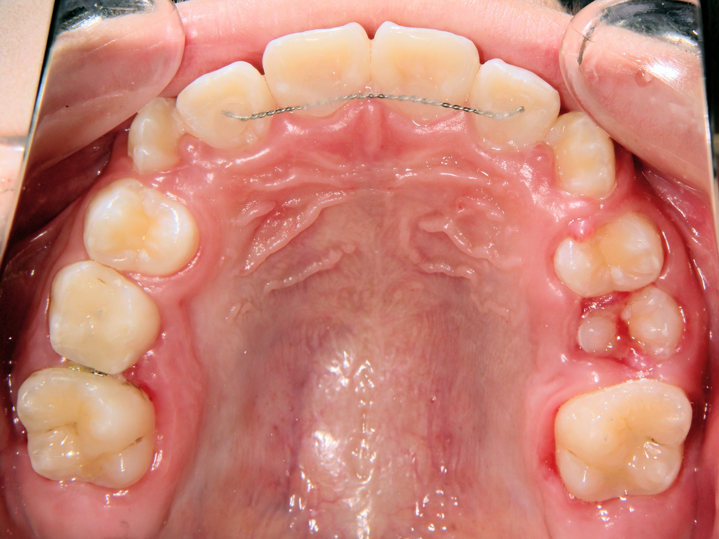
口腔内写真
治療結果
上の前歯のデコボコが改善
上の歯の狭さが改善
目標の永久歯萌出スペースを確保
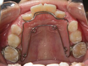
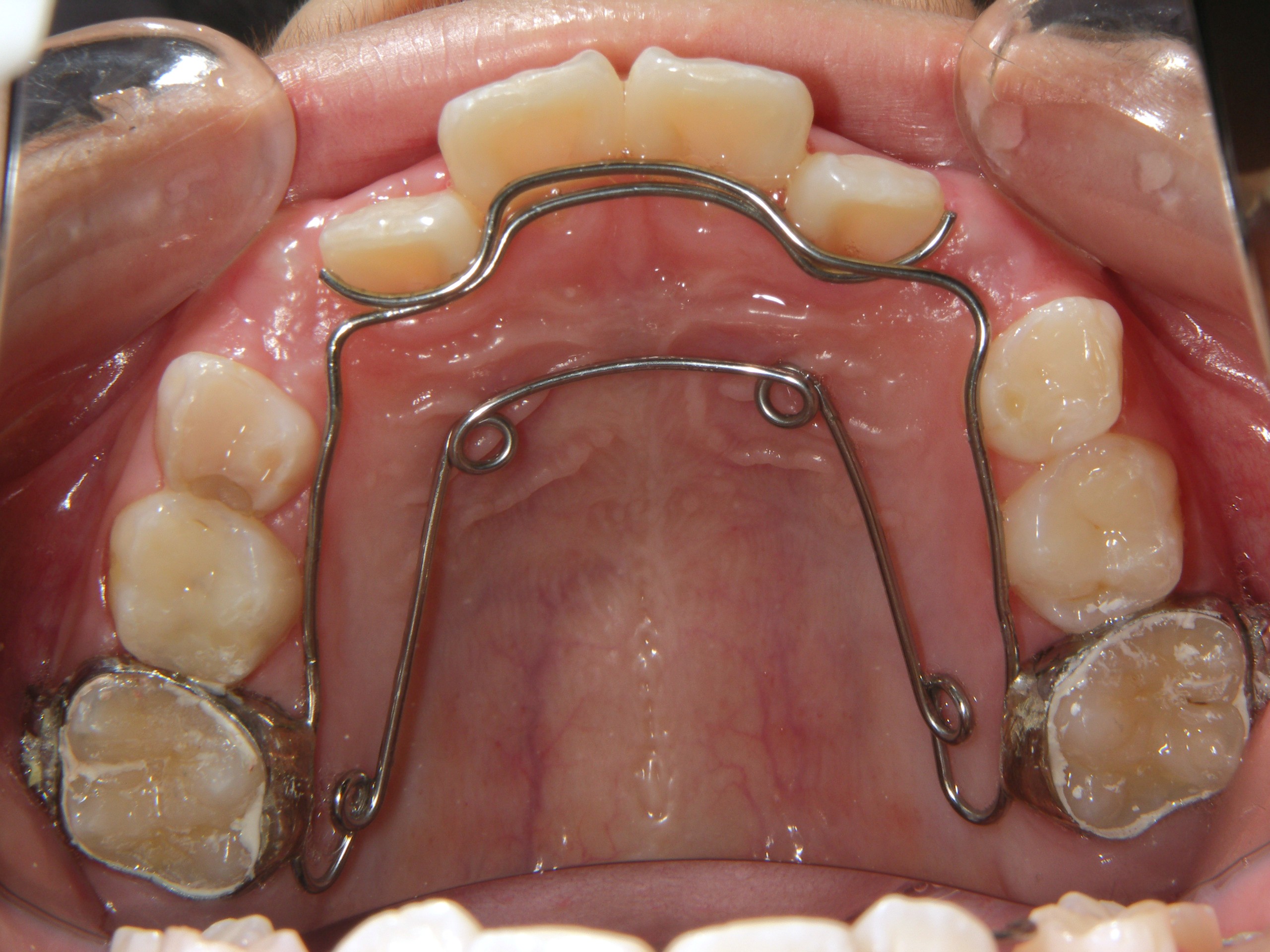
第2期治療へ移行
上の前歯の裏側に保定装置(Fixリテーナー)を装着し、全ての永久歯萌出後に全顎矯正を行い、全体的な咬み合わせの調整を行います。
経過観察期間:2年7か月
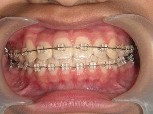
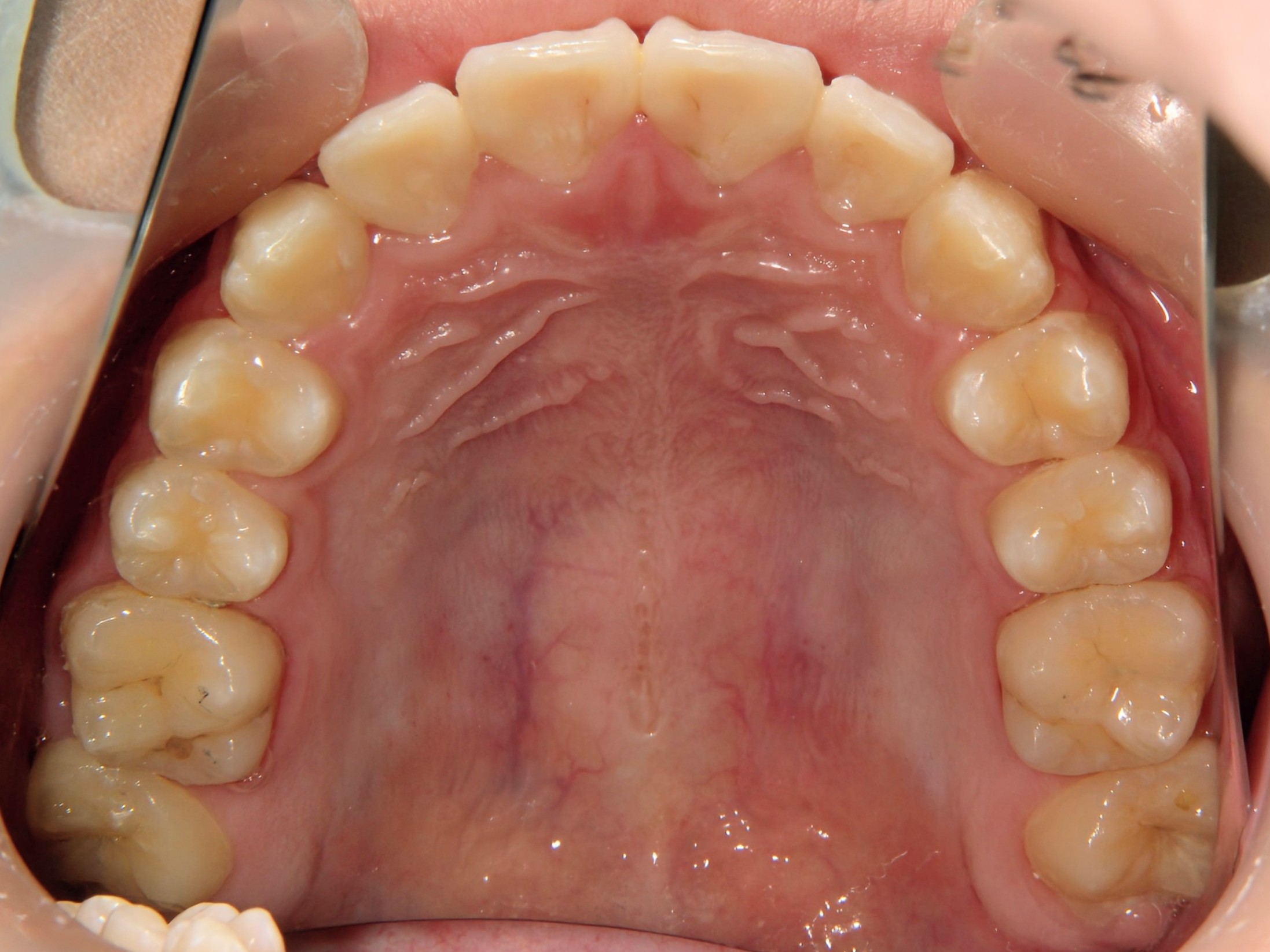
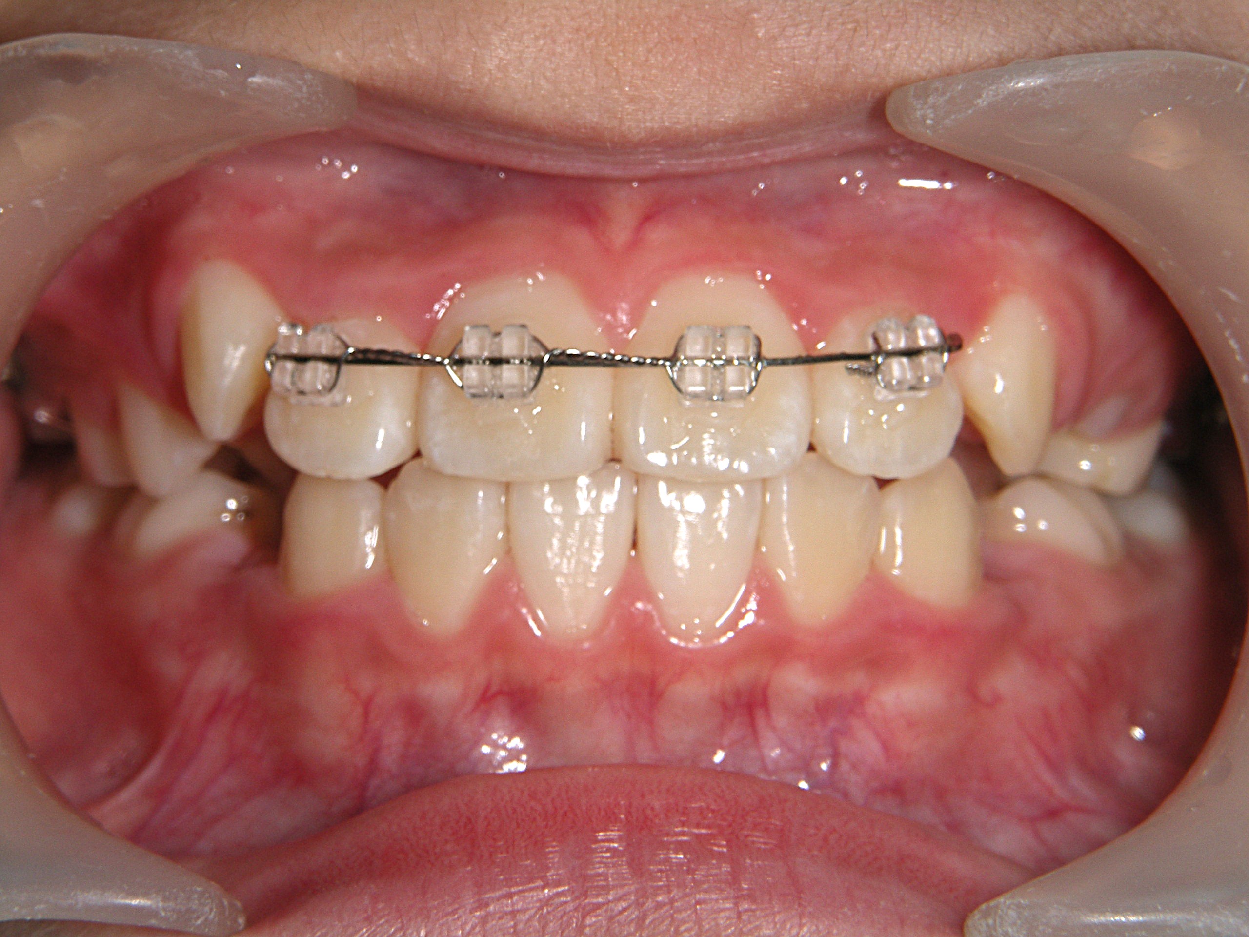
第2期治療開始時
顔貌写真
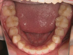
口腔内写真
開始年齢
13歳
主訴(患者様のお悩み)
残りの歯のデコボコを治したい
診断
上下顎軽度の叢生(上下の歯のデコボコ)
上顎右側犬歯低位(右上の八重歯)
治療方針
非抜歯矯正治療
全体的に装置を装着し、歯のデコボコや咬み合わせを治療
使用装置
表側矯正装置
治療期間の目安:約1年~1年半(保定期間を除いた期間)
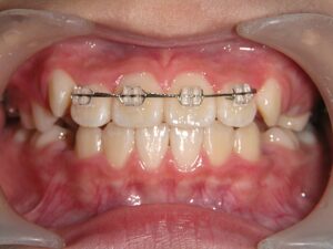
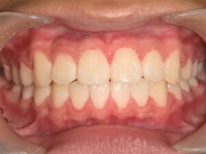
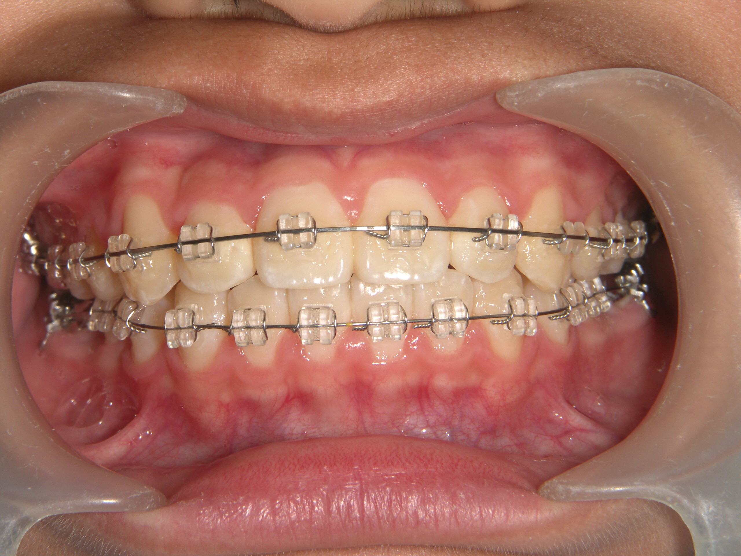
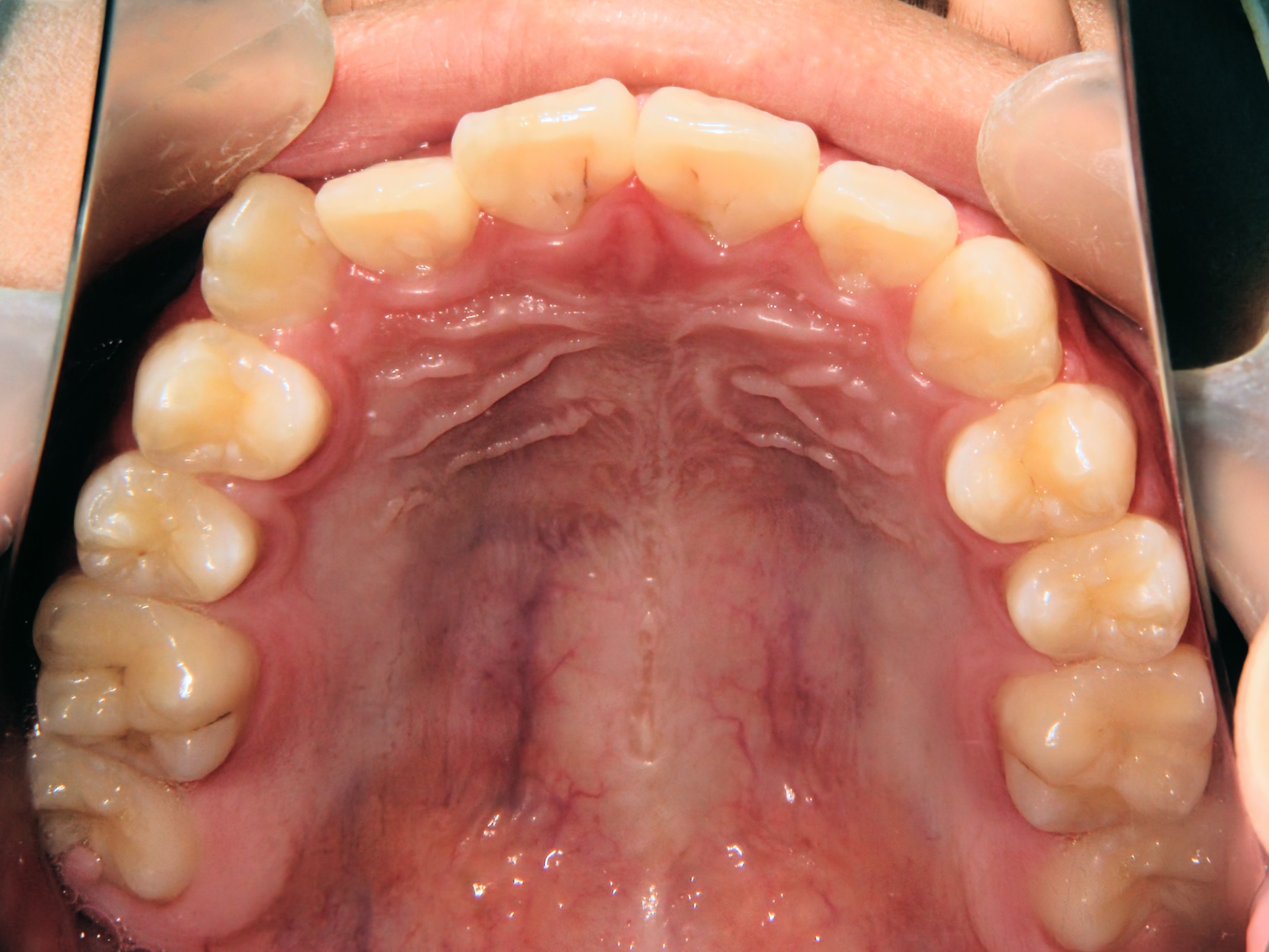
第2期治療終了時
顔貌写真
口腔内写真
治療結果
上下の歯のデコボコが改善
全体的な咬み合わせの緊密化
治療費(調整料含めて)
約95万円(第1期治療…40万円、第2期治療…55万円)
第1期治療期間
第1期治療開始:2021年8月
第1期治療終了:2022年1月
動的治療期間:5か月
第2期治療期間
第2期治療開始:2024年9月
第2期治療終了:2025年7月
動的治療期間:10か月
合計期間
3年10か月(動的治療期間:1年3か月+経過観察期間:2年7か月)
患者様は歯のデコボコを主訴で来院しましたが、第1期治療で歯列拡大+前歯部矯正を行ったことで、第2期治療で非抜歯矯正にて治療終了することができました。
当院の第1期治療のノルマは、以下になります。
- 前歯の審美・機能面の改善
- 骨格のコントロール
- 永久歯萌出スペースの確保
第1期治療で上記のアプローチをせず、第2期治療から開始していた場合、抜歯矯正になっていた可能性が高い患者様でした。
あごの大きさや歯の大きさのバランスによって、歯のデコボコや出っ歯になってしまうことが多いため、早めに治療をすることに越したことはないですが、子供の矯正の場合はまず矯正治療を行える適応年齢なのか、協力的であるか、など歯の萌出状況やお子様本人の心理的背景を考慮した上でご提案させていただく形になります。
治療が始まった後も、お子様のモチベーションを維持するために、当院のフォローアップとして装置装着期間および治療期間はなるべく短く行い(メリハリ治療の根本です)、保護者の方のフォローアップとして、仕上げ磨きや装置の不具合確認、矯正治療に対する不安や悩みを傾聴していただく必要性があります。
矯正治療開始後のご相談やご不明点も、公式LINEで時間に関係なく聞いていただいて構いませんので、お気軽にご利用ください。































