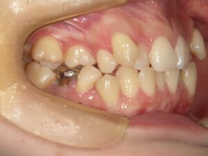
今回症例解説をするのは、20代女性の症例です。
デコボコの量が多く、補綴物(歯の被せ物)や顎の狭窄などにより咬み合わせが不安定で、治療計画を立てるのが困難、いわゆる「難症例」になります。
※院長自身が治療しましたが当院での治療ではないため、使用している装置は当院で取り扱っているものと異なります。
症例集ページ(https://www.van-ortho-clinic.com/case/)の成人矯正 Case 10 と同じ内容になります。
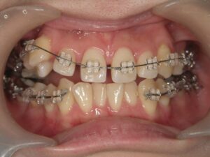
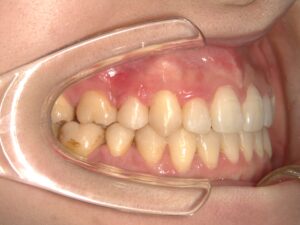
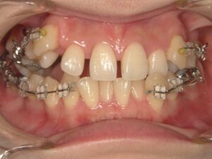
治療開始時
顔貌写真
口腔内写真
年齢
20代女性
主訴(患者様のお悩み)
歯のデコボコを全体的に綺麗にしたい
診断
重度な叢生(前歯部のスペース不足)
上顎左右側第二小臼歯舌側転位(歯列から逸脱して萌出)
上顎左右側犬歯唇側転位(八重歯)
数か所のクロスバイト(部分受け口)
治療方針
上顎左右側第二小臼歯、上顎左右側第一大臼歯、下顎右側第一大臼歯、下顎左側第二小臼歯 計6本抜歯
上下顎第一大臼歯抜歯部は第三大臼歯(親知らず)を移動させることで咬み合わせるよう計画
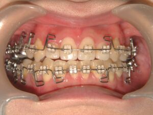
使用装置
表側矯正装置
クワドヘリックス
(上顎拡大装置)
歯科矯正用アンカースクリュー(上顎左右側大臼歯部 計2本)
治療期間の目安:約3年~3年半(保定期間を除いた期間)
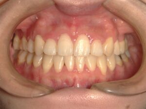
治療終了時
顔貌写真
口腔内写真
治療結果
口元を下げすぎずに治療終了できた
歯列のデコボコが改善
奥歯・前歯共に咬み合わせが安定
治療費(調整料含めて)
総額:約100万円
治療期間
治療開始:2023年3月
治療終了:2025年11月
動的治療期間:2年8か月
患者様は子どもの頃から歯のデコボコが気になっており、相談の段階で抜歯矯正による治療を望まれていました。
デコボコの量がかなり多く、抜歯部位は口元を下げすぎず、全体的に咬み合わせがバランス良く噛める位置でシミュレーションを立てて決定しました。
物を噛むときに一番力が入ると言われている第一大臼歯を抜歯することに抵抗がありましたが、第三大臼歯(親知らず)の形態が良く、第一大臼歯の代わりになると判断し、抜歯して第二大臼歯・第三大臼歯を手前に寄せていく治療計画を立てました。
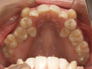
治療開始時は、デコボコが大きい歯は装置が装着できないため、下の写真のように部分的にワイヤーを通して治療することもあります。
抜歯したスペースに歯が動いていくと、全体的に装置が装着できるようになります。
治療を進めていくと、咬み合わせは少しずつ変化し、場合によっては顎関節に痛みが出たり、知覚過敏症状が出たり、一時的な症状であることが多いですが、矯正を行うリスクとして挙げられます。
この症例の方は、咬み合わせが変化していく中で、上下顎とも奥歯が咬んでいない開咬状態になりました。
その場合、下の写真のようなMEAW(Multiloop Edgewise Arch Wire)という、ゴムかけ用のフックを付与したワイヤーを使用することがあります。
ゴムかけの力で上下の顎を咬ませることはもちろん、歯1本1本のコントロールにも優れており、歯のガタガタや捻じれが大きく通常のワイヤーだとコントロールが難しい方に有効なワイヤーです。
ただし、歯ブラシが当てにくく、物が挟まりやすいことが欠点でもあります。
| 治療期間は治療開始時に提示していた「3年以上」よりも早く治療終了することができ、ご本人は治療後の歯並びにも満足しておりました。
現在、保定治療中ですが、後戻りしないよう定期的に通っていただいております。 これだけの歯のガタガタや咬み合わせを治療したとしても、保定期間中に後戻りしてしまうと、治療にかけた年月や費用が無駄になってしまいます。 保定期間も矯正治療の一環になりますので、装置の破損や紛失があった場合はすぐにご連絡するよう心掛け、定期的な通院を守るようにしてください。 |




























